试题详情
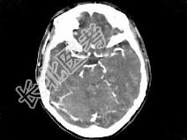
- 单项选择题女,37岁, 产后10天,出现剧烈头痛头昏伴神志不清2天, 根据所提供图像,最可能的诊断是 ( )

A、右侧蛛网膜下腔出血
B、右侧脑膜脑炎
C、右侧硬膜下血肿
D、右侧脑梗死
E、右侧静脉窦血栓形成
关注下方微信公众号,搜题查看答案

热门试题
- 关于“颅内错构瘤”,下列描述错误的是
- 下列关于髓母细胞瘤的描述,下列哪项是错误
- 成人视神经孔径大小约为A、2mmB、10
- 垂体微腺瘤在CT扫描时的间接征象包括以下
- 桥小脑角区最常见的肿瘤是 ( )
- 头颅经眶位可检查A、枕大孔B、枕骨C、内
- 脑脓肿病理分期,错误的是 ( )
- 关于听神经瘤的CT表现,下述不正确的是
- 关于“TORCH综合征”,下列描述哪项不
- 关于听神经瘤的描述,错误的是 (
- 女,30岁, 腰痛2个月,MRI检查见L
- 颈内动脉虹吸段哪一段全部走行在海绵窦内A
- 男,19岁, 头痛、癫痫发作半年,头颅M
- 细胞毒性水肿常见于 ( )A、肿
- 颈动脉海绵窦瘘的特征性临床表现A、眼球活
- 颅脑CT没有病理意义的钙化是 (
- 男,15岁, 头痛、呕吐数天,生活在疫区
- 小脑星形细胞瘤CT检查时,可见下列哪些征
- 神经纤维瘤病的CT和MRI表现有 (
- 脑转移瘤的MRI征象有( )A、多数