试题详情
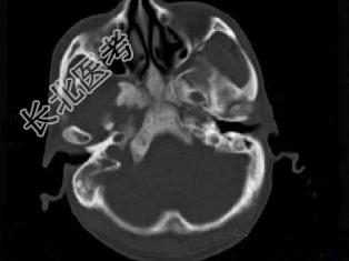
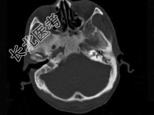
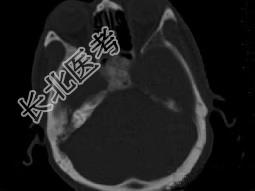
- 单项选择题男性,56岁, 鼻咽癌放疗后复查,CT扫描如图所示, 请选择正确的答案 ( )



A、化脓性骨髓炎
B、骨结核
C、致密性骨炎
D、放疗后骨炎
E、骨瘤
关注下方微信公众号,搜题查看答案

热门试题
- 咽部灼伤患者宜早期行气管切开术的条件是
- 颈动脉创伤性栓塞临床症状可表现为 (
- 下列哪种不属于先天性后鼻孔闭锁的发生机制
- 1、可能的诊断有2、为明确诊断可进行的检
- 关于会厌谷描述正确的是A、位于咽鼓管咽口
- 关于化脓性迷路炎,关于其说法错误的是A、
- 关于鼻内翻性乳头状瘤的影像学特征,叙述正
- 扁桃体炎急性发作时,治疗不正确的是 (
- 1、关于此病诊断错误的是2、鼻内镜下脑脊
- 鼓膜内陷特征的是 ( )A、光锥缩短,变
- 下列哪项符合慢性扁桃体炎的特征 (
- 额隐窝位于 ( )A、筛前动脉骨
- 脑脊液来自咽鼓管者,瘘孔在 (
- 关于急性鼻窦炎的治疗,下述错误的是A、保
- 贝尔(Bell)现象是指A、患者闭眼时,
- 双侧软腭瘫痪的临床表现不包括 ( )A、
- 患者男性,62岁,因“发现右颈部无痛性包
- 诊断咽异感症包括 ( )A、详细
- 咽淋巴外环不包括A、咽后淋巴结B、下颌角
- 关于颈静脉球体瘤的描述下面哪几项是正确的