试题详情
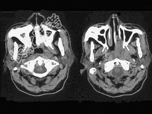
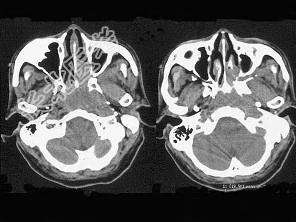
- 单项选择题男,64岁, 间断性流鼻血一年余,近1个月加重, CT如图所示,最可能的诊断为 ( )


A、鼻咽部腺样体增生
B、鼻咽纤维血管瘤
C、鼻咽部恶性淋巴瘤
D、鼻咽部淋巴组织增生
E、鼻咽癌
关注下方微信公众号,搜题查看答案

热门试题
- 如吸入高温气体后患者出现声嘶、喉痛、剧烈
- 患者,女, 45岁,鼻塞、流脓涕7天,
- 急性卡他性会厌炎充血、肿胀位置主要是在
- 患者,女, 53岁,回吸鼻涕带血1年,
- 下列哪项不符合慢性化脓性中耳炎骨疡型的特
- 关于咽后脓肿描述对的是 ( )A、最常见
- 喉部疾病引起吞咽困难的有 ( )
- 患者最近因故右侧颜面神经麻痹,但纯音检查
- 内听动脉多发自A、基底动脉B、小脑前下动
- 出现不完全喉返神经麻痹时 ( )
- 与喉癌发病无关的是A、吸烟B、功能性发声
- 在急性喉炎的喉镜检查中所见是 (
- 男,28岁,车祸后因呼吸困难而行气管切开
- 食管异物的处理中,叙述正确的是A、进食后
- 1、最可能的诊断是2、如进一步检查,可首
- 引起儿童OSAHS常见的主要原因是 (
- 下列症状中,不属于听神经瘤临床表现的是A
- 有关急性扁桃体炎下列哪项描述是错误的
- 下列哪项不是扁桃体切除术的适应证A、扁桃
- 1、该患者还需要的主要检查是2、该患者可