试题详情
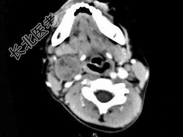
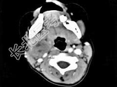
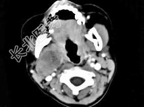
- 单项选择题女,4岁, 右侧颈部可扪及一包块约两个月,无热无痛, CT如图所示,最可能的诊断为 ( )




A、咽旁血管外皮瘤
B、咽旁副神经节瘤
C、咽旁脓肿
D、咽旁神经纤维瘤
E、咽旁小唾液腺混合瘤
关注下方微信公众号,搜题查看答案

热门试题
- 腮腺最常见的良性肿瘤是A、腺淋巴瘤B、肌
- 突发性聋界定突然听力下降的时间是A、数分
- 额窦炎症可 ( )A、经额骨板障
- 总和电位来源于 ( )A、耳蜗毛
- 关于化脓性迷路炎,关于其说法错误的是A、
- 急性额骨骨髓炎 ( )A、视力下
- 急性乳突炎应注意与如下疾病相鉴别A、分泌
- 以下哪项不是猩红热性咽炎的临床表现A、草
- 构成咽淋巴环不包括 ( )A、腺
- 喉返神经病变常见于 ( )A、左
- 应考虑是鼻真菌病的情况是A、单侧鼻涕带血
- 患者,女, 43岁,痰中带血3个月余,
- 1、首先考虑的诊断有2、为明确诊断,首选
- 易侵及颈内动脉和颈内静脉引起严重出血和血
- 对喉咽的描述不正确的是 ( )A
- 关于食管腐蚀伤的损伤程度,叙述错误的是A
- 哪一型甲状腺癌常合并内分泌综合征 (
- 腺样体属于咽淋巴环的A、内环B、外环C、
- 对于癔病性失声,其主要治疗方法是 (
- 下列哪一种药物不用于变应性鼻炎的治疗A、