试题详情
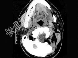
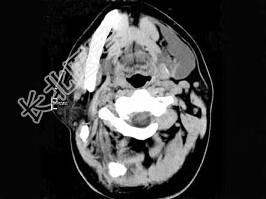
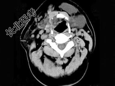
- 单项选择题男,32岁, 左侧下颌部肿块,CT如图所示, 最可能的诊断是 ( )




A、造釉细胞瘤
B、颌骨囊肿
C、鳃裂囊肿
D、颈部淋巴管瘤
E、舌下腺囊肿
关注下方微信公众号,搜题查看答案

热门试题
- 一筛窦癌病人,根据(UICC)TNM(1
- 在治疗不伴喉梗阻的变态反应性喉水肿患者时
- 有关先天性后鼻孔闭锁,下列叙述哪项错误?
- 上呼吸道最狭窄处是A、鼻后孔B、喉口C、
- 可诊断为变应性鼻炎的是A、典型的变应性鼻
- 下列易致皮下或纵隔气肿的疾病有 (
- 1、下列措施,有利于进一步明确诊断的是2
- 1、首先考虑的诊断是2、应进一步完善的检
- 与腺泡型横纹肌肉瘤相关的基因突变是:(
- 关于胆固醇肉芽肿病理的说法,错误的是A、
- 鼻出血常见的局部病因包括A、车祸致鼻骨骨
- 引起成年人颈深部间隙感染的最常见原因是(
- 1、为明确诊断,入院后应立即进行的辅助检
- 小儿急性喉炎的表现不包括A、声音改变B、
- 有关鼓室内壁结构下列哪项是错的 (
- 眶上神经分布区感觉消失提示脑脊液鼻漏位于
- 气管切开时如甲状腺峡部过宽,影响暴露气管
- 1、入院后需要做的辅助检查有2、如果CT
- 患者,男,25岁,额部疼痛2年,检查右额
- 检查右支气管时,应将受检者的头A、略抬高