试题详情
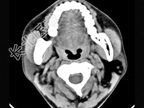
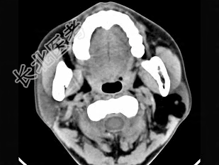
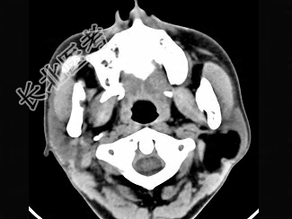
- 单项选择题女性50岁,左侧面部肿胀, CT检查如图,应考虑为 ( )

A、左侧腮腺囊腺瘤
B、左侧腮腺囊肿
C、左侧腮腺脂肪瘤
D、左侧腮腺错构瘤
E、左侧腮腺炎
关注下方微信公众号,搜题查看答案

热门试题
- 鼻腔后部出血多为A、青年患者,鼻-鼻咽静
- 40Hz AERP临床应用不包括A、客观
- 患者男性,62岁,因“发现右颈部无痛性包
- 使声带变长的肌肉是A、环甲肌B、甲杓肌C
- 适用于0~6个月婴幼儿的行为测听方法为A
- 患者,女, 30岁,发现颈动脉三角区内无
- 腭垂腭咽成形术的切除范围除外 (
- 1、该患者应首先进行下述哪些检查2、若鼻
- 急性感染性会厌炎最常见的病原菌是A、肺炎
- 1、放射治疗的后遗症不包括A、脑神经麻痹
- 下呼吸道分泌物潴留的治疗措施中,保持呼吸
- 有关外耳道疖体征描述有误的是 (
- 恶性外耳道炎的患者MRI扫描用在于:(
- 关于儿童慢性分泌性中耳炎的治疗,叙述正确
- 急性会厌炎严重可导致A、畏寒、发热B、咽
- 以下不属于腮腺良性肿瘤的是A、肌上皮瘤B
- 左右后鼻孔的分界是 ( )A、蝶骨翼突内
- 气管闭合性损伤可出现 ( )A、
- 如图,赵某, 43岁,咽痛伴发热、头痛2
- 关于脑脊液鼻漏漏出部位的定位,可通过A、