试题详情
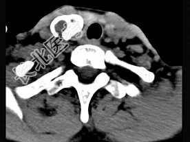
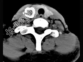
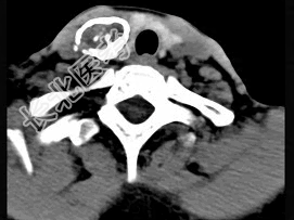
- 多项选择题50岁女性患者,体检发现右侧甲状腺有较硬结节, CT扫描如图所示,请选择正确的描述和答案 ( )

A、右侧甲状腺内见稍低密度影,周边围以环形致密钙化影
B、肿块影与周围结构分界清楚
C、考虑为结节性甲状腺肿
D、考虑为甲状腺癌
E、考虑为甲状腺腺瘤钙化
关注下方微信公众号,搜题查看答案

热门试题
- 与鼻腔面积-距离曲线中的第一切迹相对应的
- 包绕颌下腺、腮腺的颈筋膜为 (
- 对外耳道疖描述有误的是 ( )A
- 行单纯乳突切开术时在乳突尖与耳垂连线中点
- Bezold三征为A、低频听阈提高、Ri
- 有关阻塞性睡眠呼吸暂停综合征常见的狭窄和
- 判定微觉醒时觉醒时间低限是A、3秒B、4
- 三叉神经上颌支分布区感觉消失提示脑脊液鼻
- 1、为明确诊断,应行检查2、如诊断为鼻真
- 膜迷路来于 ( )A、外胚层B、
- 颈部囊性水瘤多位于 ( )A、胸
- 能提示乙状窦血栓性静脉炎诊断的试验是
- 突发性聋的听力急剧下降多发生在 (
- 在Cotton分类法中,如果声门下区出现
- 关于急性扁桃体炎,下列说法中哪项是不正确
- 咽部灼伤患者宜早期行气管切开术的条件是
- 1、初步诊断首先应考虑为2、诊断明确后,
- 慢性鼻窦炎的改变不包括A、常累及多个鼻窦
- 下列哪项不参与构成咽峡A、舌、腭咽弓B、
- 1、最可能的诊断是2、如进一步检查,可首