试题详情
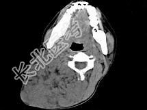
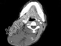
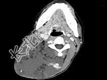
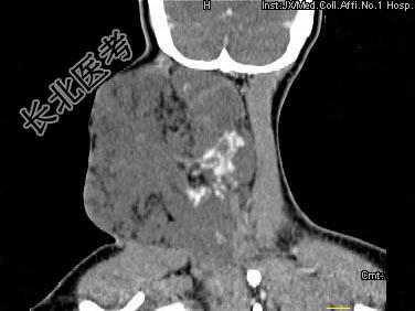
- 单项选择题女,32岁, 颈部包块8年余,包块逐渐长大, CT如图所示,最可能的诊断为 ( )




A、颈部神经纤维瘤
B、颈部横纹肌肉瘤
C、颈部巨大血管瘤
D、颈部神经鞘瘤
E、颈部异位甲状腺
关注下方微信公众号,搜题查看答案

热门试题
- 鼻咽X线侧位片,腺样体显著肥大的界定是A
- 外耳道囊腺癌描述错误的是A、术后不可放疗
- 患者,女, 32岁,咽部剧痛2小时, 吞
- 真菌性鼻窦炎最常见的致病菌是A、念珠菌B
- 1、接诊医师应收集病史有2、现行相关辅助
- 下列不是小儿喉部解剖特点的是A、小儿喉部
- 鼻腔良性肿瘤中易复发、易恶变的是A、血管
- 功能性鼻窦内镜手术(FESS)的手术原则
- 在治疗小儿乳头状瘤时,最常用的方法是
- 对耳蜗电图的描述,不正确的是A、AP潜伏
- 预后较好的喉癌的类型是 ( )A
- 颈清扫术应当沿椎前筋膜的浅层进行,以防损
- 梅尼埃病的常见临床表现包括A、眩晕B、听
- 慢性单纯性鼻炎出现交替性鼻塞的特点是A、
- 青年女性患者,右耳持续流脓6个月, 脓液
- 横纹肌肉瘤在组织学上要和下列哪些肿瘤进行
- 不属于行为测听范畴的听力检查是 (
- 控制变应性鼻炎症状的主要局部用药是 (
- 在突发性聋的类型中,痊愈率最差的是A、低
- 1、放射治疗的后遗症不包括A、脑神经麻痹