试题详情
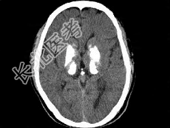
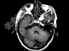
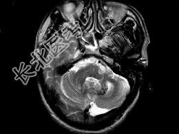
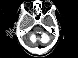
- 单项选择题男,49岁, 反复发作性癫痫,双手震颤5年, 伴头昏行走不稳,生化检查: 血清钙降低,血清磷升高, 请根据所提供图像,选择最可能的诊断 ( )

A、Fahr病
B、一氧化碳中毒性脑病
C、霉变甘蔗中毒
D、肝豆状核变性
E、甲旁低
关注下方微信公众号,搜题查看答案

热门试题
- 外伤性视神经管骨折在视神经管隆凸上施行减
- 与变应性鼻炎发病机制有关的特异性抗体为A
- 治疗扁桃体恶性淋巴瘤宜采用的治疗措施是
- 鼻咽纤维血管瘤好发于A、幼年男性B、青少
- 耳源性Mouret脓肿是由于炎症穿破乳突
- 女,34岁, 左耳鸣,听力下降两个月,
- 外耳道囊腺癌描述错误的是A、术后不可放疗
- 可发生颈部淋巴结肿大的疾病有A、扁桃体癌
- 咽部的描述正确的是 ( )A、咽是呼吸道
- 中年男性患者,近半年来左侧鼻腔脓性分泌物
- 下咽癌患者,肿物位于右侧梨状窝外侧壁,两
- 咽的解剖说法错误的是 ( )A、
- 有关鼻腔湿润的主要来源,下列哪项是错的
- 从病理生理方向,出现睡眠呼吸暂停时,会出
- 正常人每个位觉毛细胞上动、静纤毛数是 (
- 鼻腔后部出血多发生于A、幼儿B、儿童C、
- 耳聋与言语关系中,错误的描述是A、在语言
- 有关突发性聋使用降低纤维蛋白原治疗的说法
- 以下关于甲状腺血供的描述中,错误的是A、
- 关于食管,叙述错误的是A、食管从外向内是