试题详情
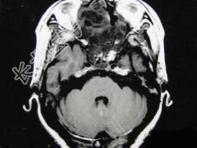
- 单项选择题女性,41岁, 鼻腔流脓涕3年,鼻部面部肿胀1年, 近来加重,MRI检查如图, 请选择最可能诊断 ( )




A、鼻腔内囊肿
B、鼻腔内出血
C、鼻腔软骨瘤
D、鼻咽癌
E、鼻腔血管瘤
关注下方微信公众号,搜题查看答案

热门试题
- 气管异物临床表现有的是 ( )A、剧烈呛
- 治疗儿童急性喉炎时,不宜采用的治疗措施是
- 颈部淋巴结核的治疗方法首选A、治疗原发灶
- 患儿,男,7岁,鼻部瘙痒3天。查体:双侧
- 1、为明确诊断,最有价值的检查方法是2、
- 锤骨头在胚胎发育中来自A、赖歇特软骨B、
- 1、最可能的诊断是A、耳蜗性聋B、传导性
- 1、最恰当的诊断是2、最有效的治疗方式是
- 开放性喉外伤患者呼吸困难的原因下列错误的
- 如图,下面解剖标志正确的是 (
- 关于良性阵发性位置性眩晕,叙述正确的是A
- 声波经过鼓膜、听骨链到达镫骨足板时可提高
- 患者,男, 30岁,鼻塞、流脓涕、嗅觉减
- 我国常用的硬支气管镜检查体位是 (
- 眶底骨折也称为 ( )A、击出性
- 协同嗅神经司理嗅觉的神经不包括A、ⅤB、
- 慢性鼻-鼻窦炎的症状不包括A、发热B、鼻
- 嗜酸性淋巴肉芽肿术后复发的原因:( )
- 1、根据症状及体征,该患者最可能的诊断是
- 以下哪项不是扁桃体周围脓肿病程中和治疗中