试题详情
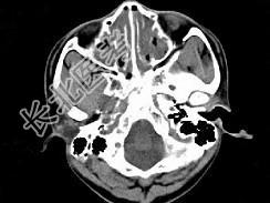
- 单项选择题男,14岁, 持续性鼻塞、嗅觉减退,流脓涕数年, CT检查如图,最可能的诊断为 ( )




A、鼻炎及鼻窦炎
B、鼻及鼻窦息肉
C、过敏性鼻炎及鼻窦炎
D、恶性肉芽肿
E、上颌窦癌
关注下方微信公众号,搜题查看答案

热门试题
- 嗜酸性淋巴肉芽肿又名:( )A、金氏病
- 患者,男,40岁,右侧耳后下疼痛半年,2
- 下列哪项不是引起慢性咽炎的局部因素A、急
- 颈总动脉的体表投影 ( )A、自
- 治疗下鼻甲骨肥大宜采用 ( )A
- 鼻黏膜对刺激所致疼痛的敏感度由高到低依次
- 中年男性患者,近半年来左侧鼻腔脓性分泌物
- 不属于变应性疾病的是A、湿疹B、食物不耐
- 药物性鼻炎发生的主要机制是A、鼻腔滴用的
- 中耳的阻抗匹配作用是通过鼓膜与听骨链组成
- 鼻咽癌的治疗中,错误的是A、放射治疗为首
- 下列关于鼻周期的说法哪项是错误的A、指正
- 鼻呼吸区粘膜的发育来源于 ( )
- 与顽固性根尖周病变和窦道经久不愈可能有关
- 如图,为一支气管的外观图, 下列关于右主
- 诊断呼吸道异物的重要依据A、异物吸入史B
- 患者,女, 22岁,鼻部受伤后1周, 诉
- 腺样体肥大的描述不包括 ( )A
- 在喉镜检查中,如用探针触及喉粘膜,患者无
- 鼓室图检查为C型表示A、听骨链中断B、耳