试题详情
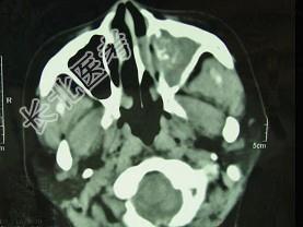
- 单项选择题男,41岁, 左侧鼻腔胀痛半年余,CT检查如图, 最可能诊断为 ( )




A、出血坏死性息肉
B、化脓性鼻窦炎
C、变应性鼻窦炎
D、真菌性鼻窦炎
E、上颌窦癌
关注下方微信公众号,搜题查看答案

热门试题
- 喉部发出的声音是A、语言B、原声C、基音
- 突发性聋的听力急剧下降多发生在 (
- 颈静脉球体瘤的影像学检查的组合是:(
- 男,4岁,强酸入造成咽部灼伤,其后遗症有
- 耳廓组织结构和解剖形态描述,错误的是A、
- 咽丛的构成主要神经不包括A、舌咽神经咽支
- 喉切伤是 ( )A、开放性喉外伤
- 下述哪项检查对鼻内镜手术最有意义A、鼻窦
- 新生儿听力筛查项目包括A、畸变产物耳声发
- 颈内动脉的体表投影A、自甲状软骨上缘沿胸
- 喉癌的大体形态为A、溃疡浸润型B、菜花型
- 中耳有肉芽和脓液,高热、剧烈头痛、喷射状
- 关于良性阵发性位置性眩晕,叙述错误的是A
- 刺激下鼻甲中、后部引起反射性疼痛的部位是
- 咽淋巴内环中最大的淋巴组织是A、舌扁桃体
- 喉咽部后壁与第几对颈椎平 ( )
- 分化型甲状腺癌颈淋巴结cN0时,应清扫的
- 如图,为一支气管的外观图, 下列关于右主
- 言语缺陷不包括A、学语迟滞B、发声困难C
- 在喉支架中软骨个数为 ( )A、