试题详情
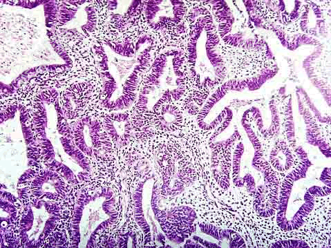
- 单项选择题女性,40岁, 月经量多不规律2月余,诊刮子宫内膜, 显微镜下见腺体增生,与间质比> 3:1, 腺上皮部分出现假复层,核无明显异型(如图), 应诊断为 ( )

A、子宫内膜单纯性增生
B、子宫内膜复杂性增生
C、子宫内膜单纯性增生伴非典型增生
D、子宫内膜复杂性增生伴非典型增生
E、子宫内膜腺癌
关注下方微信公众号,搜题查看答案

热门试题
- 关于肥大,下列描述中哪项不正确 (
- 1、镜检如图所示,应首先考虑何种疾病 (
- 肾细胞癌的特点包括 ( )A、肾上下极多
- 1、死后心脏的大体观如图所示,病理诊断应
- 老年男尸,尸检见其脑大体如图所示, 结合
- 关于弥漫性毛细血管内增生性肾小球肾炎的叙
- 可自行停止的出血有 ( )A、硬脑膜中动
- 1、行手术切除,病理巨检如图,镜检如图,
- 慢性酒精中毒主要引起的肝脏损害是 ( )
- 1、术后镜检如图所示:瘤细胞大小形态一致
- 1、该患者行左肾切除后送病理检验,镜检如
- 慢性萎缩性胃炎的组织学变化是 ( )A、
- 脑软化可见于下列哪些疾病 ( )A、脑栓
- 肺吸虫的病理改变有 ( )A、出血B、窦
- 下列哪项属于癌前疾病 ( )A、阑尾炎B
- 1、关于该患者的初步诊断,下述错误的是
- 1、肿块切除后镜检如图所示:瘤细胞小,圆
- 1、支气管镜活检镜下如图所示:肿瘤细胞弥
- 1、巨检及镜下观如图,正确的病理诊断应为
- 关于慢性淋巴细胞白血病的正确描述包括 (