试题详情
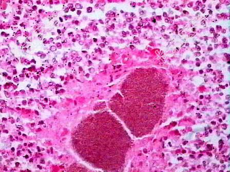
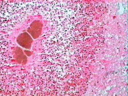
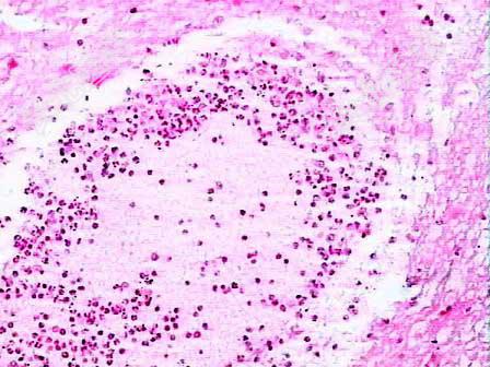
- 单项选择题患者,女, 8岁。因头痛呕吐,高热入院。大体观如图, 镜下可见大量变性坏死中性粒细胞,如图所示。应诊断为 ( )




A、流行性脑脊髓膜炎
B、流行性乙型脑炎
C、转移性癌
D、脑出血
E、脑脓肿
关注下方微信公众号,搜题查看答案

热门试题
- 下列哪些病变属于急性炎症变化 (
- 亚急性甲状腺炎较特征性的病理学改变是甲状
- 女性,38岁, 痛经,B超提示子宫偏大,
- 下列哪些疾病无癌变倾向A、黏膜肥大性赘生
- 慢性肾盂肾炎出现多尿和夜尿的主要病理基础
- 糖尿病的胰岛可出现的病变为A、淋巴细胞浸
- 风湿性心内膜炎二尖瓣膜所形成的早期赘生物
- 1、该患者下肢肌肉发生的病理改变是(
- 肉瘤在外形上多呈( )A、乳头状B、
- 患者,女, 41岁,乳腺内触及一边界不清
- 患儿6岁,临床表现为肾病综合征,肾穿刺活
- 关于青春期甲状腺肿,下列哪一项是正确的
- 下列哪种激素具有抑制炎症的作用 (
- 患者,男, 21岁,右手示指指骨无痛性肿
- 在神经组织中,对缺氧最为敏感的细胞是(
- 胃癌的好发部位是A、胃体部B、胃窦部C、
- 下列哪项不符合绒毛膜癌( )A、多起
- 小脑与大脑颞叶的脓肿,其病原体来源可能是
- 1、根据以上信息可初步诊断为( )。
- 患者女性,36岁。自觉乏力约1年, 伴有