试题详情
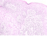
- 单项选择题女性,35岁, 肩背部斑片状皮损,微痒, 表面未见破溃。皮肤活检显示的病变如图片所示,该图显示真皮表皮交界处慢性炎细胞呈带状浸润。根据此种病变特点应考虑为

A、红斑狼疮
B、银屑病
C、扁平苔藓
D、皮肤B细胞淋巴瘤
E、扁平疣
关注下方微信公众号,搜题查看答案

热门试题
- 下列病变除哪项外均为门脉性肝硬化之假小叶
- 5-羟色胺主要存在于( )。A、嗜酸
- 男性病患,手术切除左手臂上一皮下肿块,
- 丝虫病感染的途径是 ( )A、呼
- 与国际形态分类法中的大小结节混合型肝硬化
- 炎症时巨噬细胞的主要作用是( )。A、释
- 微小病变性肾小球肾炎的主要病理变化是A、
- 纤维组织来源的恶性肿瘤,按命名原则应称为
- 引起肾小球肾炎的介质有 ( )A
- 引起血中甲状腺素过多原因是 (
- 某男性患者,45岁,曾患慢性乙型肝炎多年
- 新月体主要由哪些细胞增生形成A、系膜细胞
- 下列关于动脉粥样硬化的叙述,正确的是(
- 1、根据上述,该病例的病理诊断应要考虑A
- 在电镜下,对神经内分泌癌的识别有意义的超
- 心力衰竭患者出现劳力性呼吸困难的机制是体
- SLE皮肤损害的病变不包括( )。A、真
- 恶性苗勒管混合瘤(癌肉瘤)几乎总是发生于
- 患者男性,31岁。多发性皮下良性肿瘤,
- 日本血吸虫引起的肝硬化为 ( )