试题详情
- [材料题] 患者男性,34岁。某月因“左侧颌面部凹陷畸形”入院。11岁时因患“左侧面部软骨肉瘤”,先后在外院进行了两次手术切除肿瘤,术后导致面部明显塌陷畸形。近1个月来因瘢痕牵扯,有时感到左面部疼痛。
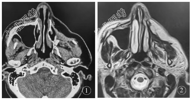
专科检查:双侧面颊部不对称,左侧颌面部软组织明显凹陷约2.0cm×3.0cm×5.0cm。皮肤软组织与颌面骨骨质明显粘连,皮肤软组织活动性较差,左侧颌面部肌肉活动时,其表面皮肤可见明显牵拉,张口功能未见明显受限。头部CT平扫(图1)显示:左侧上颌窦骨壁及部分颧骨缺如,未显示正常上颌窦结构,双侧颌面部不对称,左侧颌面部凹陷。头部MRI(图2)显示:双侧颌面部不对称,左侧颌面部凹陷,左侧颌面部皮下脂肪层覆盖于左侧颞肌前外侧,左侧无正常上颌窦结构。入院诊断:左侧面部凹陷畸形。

- 简答题1、该患者左侧面部凹陷畸形的病因是什么?
关注下方微信公众号,搜题查看答案

- 简答题2、该患者左侧面部凹陷畸形的专科检查有哪些表现?
关注下方微信公众号,搜题查看答案

- 简答题3、针对该患者左侧面部凹陷畸形的手术方法中,术前设计包括哪些内容?
关注下方微信公众号,搜题查看答案

- 简答题4、该患者左侧面部凹陷畸形手术的操作步骤有哪些?
关注下方微信公众号,搜题查看答案

- 简答题5、该患者术后不同时间头部MRI检查结果对判断左侧面部填充组织成活情况有哪些意义?
关注下方微信公众号,搜题查看答案

- 简答题6、采用自体真皮脂肪组织瓣游离填充技术修复面部软组织凹陷畸形有哪些优点,在临床应用中有什么问题?
关注下方微信公众号,搜题查看答案

热门试题
- 简述围手术期处理中营养、血糖管理及术后换
- 简述一期手术中肋软骨支架雕刻的核心原则是
- 简述包皮整形术的适应证包括哪些情况?
- 简述PLLA 面部注射的标准化制备与复配
- 简述微针点阵射频的主要适应证有哪些?
- 简述微针点阵射频与其他疗法的联合应用原则
- 简述微聚焦超声的常见并发症及处理措施是什
- 简述颈部容量填充剂(透明质酸)的注射要点
- 简述一期手术切口类型如何根据残耳组织量选
- 简述保留乳头乳晕的乳房切除术(NSM)的
- 简述大阴唇丰隆术常用的填充材料有哪些?各
- 简述PLLA 在非面部区域的应用特点及推
- 简述大阴唇丰隆术的禁忌证包括哪些?
- 简述大阴唇丰隆术后常见并发症及防治措施有
- 简述颈部注射美容的常见并发症及防治措施有
- 简述PLLA 注射后常见并发症及处理措施
- 简述包皮整形术后常见并发症及防治措施有哪
- 简述不同类型皮片(刃厚、中厚、全厚)的制
- 简述乳腺肿瘤整形外科中保乳手术的肿瘤学安
- 1、应激性脱发通常由哪些因素诱发?2、毛