试题详情
- [材料题] 患者,女,53岁,40余天前无明显诱因出现头痛,以前额及双侧颞部为著,呈发作性钝痛,发作及持续时间无规律。体检:神志清,精神可,高级认知功能正常,无神经系统阳性体征。
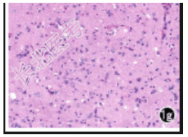
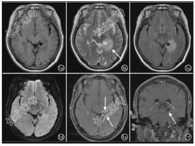
实验室检查:肌酸激酶同工酶GMB20U/L。影像学表现:MRI平扫左侧颞叶G海马区见不规则囊实性异常信号,边界欠清晰,大小约4.0cm×3.1cm,实性部分T1WI呈等、低混杂信号,T2WI、FLAIR呈高信号,DWI呈等、稍高信号;囊性部分大小约1.3cm×1.1cm,位于海马尾,信号欠均匀,T1WI、FLAIR、DWI呈中心低信号、边缘高信号,T2WI呈中心高信号、边缘低信号(图1a~1d)。增强扫描绕囊性病变周围斑片状轻度强化,其余未见强化(图1e、1f)。初步诊断为左侧颞叶G海马区低级别神经元胶质瘤。镜下示肿瘤细胞由大的神经节细胞及明显多样性的胶质细胞组成(图1g)。初步诊断为左侧颞叶节细胞胶质瘤。
说明:1a:T1WI轴面示病变实性部分呈等、低混杂信号,囊性部分呈中心低信号、边缘高信号;1b:T2WI示病变实性部分呈高信号,囊性部分呈中心高信号、边缘低信号(箭);1c:FLAIR示病变实性部分呈高信号,囊性部分呈中心低信号、边缘高信号;1d:DWI示病变囊性部分呈中心低信号、边缘高信号,实性部分呈等、稍高信号;1e:MRI增强扫描轴面示绕囊性病变周围斑片状强化(箭),其余未见强化;1f:MRI增强扫描冠状面示绕囊性病变周围斑片状强化(箭),其余未见强化;1g:镜下示肿瘤细胞由大的神经节细胞及明显多样性的胶质细胞组成(×200,HE)。
- 简答题1、节细胞胶质瘤(GG)的好发部位和常见临床表现是什么?
关注下方微信公众号,搜题查看答案

- 简答题2、节细胞胶质瘤的发病机制是怎样的?
关注下方微信公众号,搜题查看答案

- 简答题3、节细胞胶质瘤的治疗方法有哪些?
关注下方微信公众号,搜题查看答案

- 简答题4、如何预防节细胞胶质瘤?
关注下方微信公众号,搜题查看答案

热门试题
- 请简述钝性肝和(或)脾损伤患儿在什么情况
- 请简述在ATL治疗颞叶内侧型癫痫时如何确
- 简述T1 神经根切断术的手术适应证包括哪
- 请简述脊髓损伤(SCI)的诊断常用的影像
- 请简述Krabbe病(KD)的携带者筛查
- 请简述在NICU中脑死亡的临床判定标准及
- 请简述Krabbe病(KD)的支持治疗方
- 简述院前与急诊阶段如何预防和处理凝血功能
- 急性颈脊髓损伤后如何做好患者的营养评估及
- 急性颈脊髓损伤患者在院前急救中如何进行伤
- 请简述在颞叶癫痫手术中需要保护哪些血管及
- 简述ERCP 日间手术中哪些情况需及时退
- 如何正确观察颈脊髓损伤患者术后伤口及引流
- 脊髓损伤(SCI)的常见并发症及其处理方
- 请简述脊髓损伤(SCI)的分类及决定其严
- 请简述动脉瘤性蛛网膜下腔出血(aSAH)
- 请简述脊髓损伤(SCI)的严重程度的评定
- 请简述术前对于动脉瘤性蛛网膜下腔出血(a
- 在动脉瘤性蛛网膜下腔出血(aSAH)患者
- 简述围手术期营养支持的启动时机与途径选择