试题详情
- [材料题] 女性,44岁,主诉:“葡萄胎”清宫术后4年,“绒癌”第二次化疗后1月。现病史:4年前清宫术后月经量逐月减少,持续6个月后闭经至今。患者4年前于孕2月时突发阴道大量流血,外院诊断为“葡萄胎”行清宫术,后因宫内妊娠物残留于1月内再行行2次清宫术。术后血HCG未下降至正常水平,患者自觉身体不适拒绝再次清宫。清宫术后月经量逐渐减少,至清宫术后6月月经未再来潮,闭经至今。术后患者偶有恶心呕吐,咳嗽咳痰,均未行相关检查,亦未采取任何避孕措施。2017-12患者出现明显恶心呕吐、反酸、上腹部不适,遂至外院就诊,予对症治疗(具体不详)后无明显好转。
查β-HCG>150000mIU/ml;彩超提示:1、侵袭性葡萄胎待排2、子宫内膜增厚伴宫腔积液3、宫颈肥大伴回声欠均匀4、盆腔积液;2023-1-27外院胸部CT提示:1、两肺多发小结节,考虑转移。再次于行清宫术,术后血HCG下降:160000mIU/ml,术后病理示:镜下见蜕膜、出血、坏死组织中见细胞滋养叶细胞及合体滋养叶细胞。滋养叶细胞增生伴轻度异型,未见确切绒毛结构。患者自诉此次清宫术后血HCG一度下降至50000mIU/ml左右,后复查HCG再次上升至β-HCG:89000mIU/ml。外院会诊后考虑为“绒癌”并于予5Fu1.5静滴8小时d1-8,放线菌素-D0.4mg静滴d1-8化疗。化疗后:β-HCG91000mIU/ml,2023-4-1:β-HCG:90000mIU/ml,2023-4-1外院CT提示胸部多发转移灶较前增大。遂于2017-4-14至我院就诊住院治疗,2023-04-20起给予5-Fu+KSM方案化疗:5-FU(1.5gd1-d4,1.75gd5-d8)+KSM(200μgd1,400μgd2-d8),观察无明显化疗副反应。2023-5-6于外院复查血常规正常,β-HCG2597.36mIU/mL。第二次化疗后至今患者无咳嗽咳痰,恶心呕吐,腹痛腹泻等不适症状。现患者为求进一步诊治,门诊拟“恶性葡萄胎”收治入院。
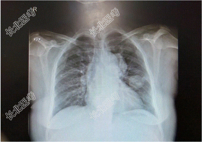
既往史:患者于25岁时足月顺产一健康活婴;于35岁时足月剖宫产一健康活婴;剖宫产后10月因“葡萄胎”行清宫术3次;2015-02-05再次于外院行清宫术。已婚,2-0-3-2,患者于25岁时足月顺产一健康活婴;于35岁时足月剖宫产一健康活婴。15岁,月经规律,4-5/40,量中,痛经(-),闭经4年。查体:T:36.9℃,P:88次/分,R:18次/分,BP:140/90/mmHg。妇科检查:外阴:(-);阴道:通畅;宫颈:光滑;子宫:前位,增大如孕8周,活动可。双附件(-)。辅助检查:胸片:两肺多个结节影,拟转移瘤,两肺纹理增多,主动脉迂曲。血常规:白细胞计数7.30×10⁹/L,血红蛋白125g/L,血小板计数405↑×10⁹/L。

- 简答题1、该患者的初步诊断为
- 1、绒毛膜上皮癌(伴肺转移)2、子宫平滑肌瘤3、输卵管系膜囊肿(右侧)
关注下方微信公众号,搜题找答案

- 简答题2、鉴别诊断为
- 原发肺癌:病人有绒癌病逝,第一应考虑肺癌为转移癌。子宫内膜癌:多表现为绝经后阴道异常流血流液,可伴有下腹部疼痛等症状。B超检查可见子宫增大或正常,宫腔内有实质不均匀回声区或宫腔线消失,肌层内可有不规则回声紊乱区等表现。
关注下方微信公众号,搜题找答案

热门试题
- 硫苯妥钠是长效类药物。 ( 难度:2)
- 药品被淘汰有哪些主要原因?
- 男,60岁,胃病史20年,近数月来呈不规
- 在急性时相反应中,以下哪项蛋白不增高 (
- 对视杆细胞的叙述错误的是( )
- 炎症早期,血管首先出现的变化是 (
- 试简述肾上腺素对不同部位血管的作用及对血
- 糖尿病人的糖尿病饮食中碳水化合物应占总热
- 口腔前庭 ( 难度:2)
- 下齿槽神经阻滞麻醉如针头污染可造成的间
- 肉类食品在冷冻贮藏中可发生哪些变化(
- 糖尿病最基本的病理生理改变是 ( 难
- 下列抗心律失常药物哪一个不是主要作用于离
- 可用于鉴别肱骨髁上骨折和肘关节脱位的体征
- 内分泌细胞所分泌的具有生物活性物质称为(
- 多发性骨髓瘤最常见的M蛋白类型是(?)。
- 类毒素具有的特点正确的是
- 在实验过程中,为消除试剂和器皿可能带来的
- 第三代喹诺酮类抗菌药结构特征是( )
- 有关肝门静脉的叙述,错误的是 ( 章节: